TRUNG TÂM Y TẾ THẠCH HÀ
Địa chỉ: Xã Thạch Hà, tỉnh Hà Tĩnh
TRUNG TÂM Y TẾ THẠCH HÀ
Địa chỉ: Xã Thạch Hà, tỉnh Hà Tĩnh
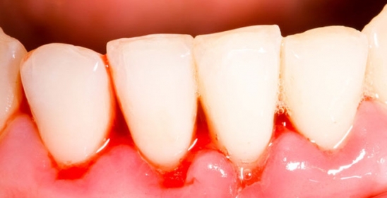
Chảy máu chân răng hoặc sương nướu được gọi chung là viêm lợi. Căn bệnh này ngày càng phổ biến và là nguyên nhân gây mất răng ở người lớn.
Có nhiều nguyên nhân gây nên tình trạng này gồm vệ sinh răng miệng kém, ăn cay, ăn thức ăn cứng, đánh răng, mang thai, căng thẳng, tiểu đường, thay đổi nội tiết tố, thiếu máu do thiếu vitamin C, bạch cầu.
Dù không thật sự gây ra những "cơn đau tưởng chết", nhưng viêm lợi khiến bệnh nhân rất khó để tập trung vào công việc hàng ngày.
Nếu không được xử lý đúng cách và kịp thời, tình trạng bệnh kéo dài có thể trở nên nghiêm trọng và gây ra những vấn đề sức khỏe khác.
Một trong những bài thuốc rẻ tiền và được áp dụng nhiều nhất là súc miệng bằng nước muối vào buổi sáng. Ngoài ra, bạn cũng có thể áp dụng những biện pháp tự nhiên dưới đây.
Baking Soda
Đánh răng bằng baking soda là là giải pháp hoàn hảo giúp điều trị chảy máu chân răng. Bột nở giúp loại bỏ các vi khuẩn và xử lý máu chảy. Tuy nhiên, bạn cần sử dụng bàn chải mềm để đánh răng.
Dầu cây trà
Đặc tính kháng khuẩn của dầu cây trà có thể chấm dứt tình trạng chảy máu nướu răng. Nhỏ vài giọt tinh dầu cây trà vào nước ấm và sử dụng hỗn hợp này để súc miệng. Bạn nên kiên trì thực hiện trong 1 tuần, lúc đó sẽ cảm nhận được sự kỳ diệu.
Dầu oliu
Các chất chống oxy hóa có trong dầu oliu giúp làm dịu nướu sưng. Những thành phần tự nhiên có trong dầu oliu có thể ngăn ngừa sự phát triển của vi khuẩn gây viêm.
Bạn nhỏ một vài giọt dầu oliu vào nước ấm, súc miệng và sau đó thì nhổ ra.
Gel lô hội
Loại gel giàu chất chống oxy hóa này giúp xử lý chảy máu chân răng. Nó có thể tiêu diệt vi khuẩn chảy máu nướu răng và cũng đẩy nhanh quá trình lành bệnh.
Sử dụng gel massage nhẹ nhàng ở khu vực bị ảnh hưởng và sau đó rửa sạch lại bằng nước ấm.
Đinh hương
Đinh hương là một bài thuốc hiệu quả để điều trị chảy máu chân răng. Đinh hương được sử dụng chủ yếu để điều trị các vấn đề về răng. Nhai một vài nhánh đinh hương khô cũng giúp bạn thoát khỏi tình trạng viêm lợi.
Nguồn tin: Trí thức trẻ
Những tin mới hơn
Những tin cũ hơn
Tập huấn an ninh mạng – nền tảng bảo đảm an toàn cho chuyển đổi số y tế tại Trung tâm Y tế Thạch Hà
Tiếp nhận món quà nghĩa tình từ Hội Đồng hương Thạch Hà tại TP. Hồ Chí Minh trao tặng Trung tâm Y tế Thạch Hà
Trung tâm Y tế Thạch Hà: Tổ chức Lễ Chào cờ tháng 10/2025
Hội đồng Khoa học – Kỹ thuật Trung tâm Y tế Thạch Hà họp xét duyệt Đề tài nghiên cứu khoa học, Sáng kiến kinh nghiệm năm 2025
Tin vui cho người bệnh tim mạch: Bác sĩ Bệnh viện Đại học Y Hà Nội khám tại Trung tâm Y tế Thạch Hà
Chi đoàn Trung tâm Y tế Thạch Hà tổ chức sinh hoạt quý III/2025